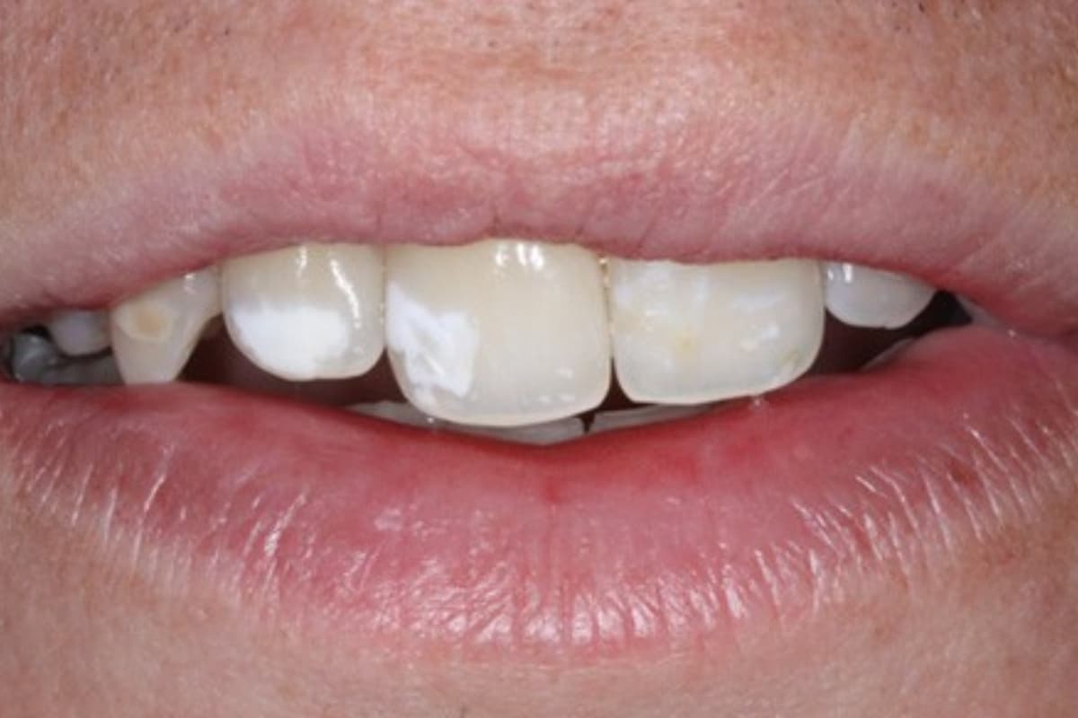
Have you ever noticed white stains on some people's teeth? Perhaps you have some yourself? These white stains, often referred to as dental fluorosis or hypomineralization, are a common concern for many. In this blog, we will provide you with all the essential information you need to understand and address this issue.
Where do these stains come from?
White stains on teeth, can occur due to several factors.
- Dental fluorosis
This condition occurs when teeth are exposed to high levels of fluoride during their development, leading to white spots or streaks on the enamel. It often results from the ingestion of fluoride-containing dental products, such as toothpaste or mouth rinses, or from drinking water with high fluoride levels. (1)
- Enamel hypomineralization
This condition is caused by a disruption during the formation of tooth enamel, resulting in areas that are less mineralized and appear white or opaque. This can be due to nutritional deficiencies, high fever, or exposure to certain chemicals during tooth development. Want to know more; read our blog on how to remineralise teeth here How to remineralise teeth https://georganics.com/blogs/posts/how-to-remineralise-your-teeth (2)
- Plaque accumulation
In some cases, white spots can form due to plaque buildup on the teeth. This is often associated with poor oral hygiene and can lead to demineralization of the enamel, creating white, chalky areas. (3)
- Diet and lifestyle factors
Certain dietary habits, such as frequent consumption of acidic foods and beverages or smoking, can contribute to the formation of white stains by eroding the enamel and exposing underlying layers. (4)
- Sleeping with your mouth open
You might observe white spots on your teeth upon waking up, which usually fade after a few hours. This typically happens when you sleep with your mouth open, leading to dehydration of the enamel surface. Once your teeth come into contact with saliva, they rehydrate, causing the white spots to vanish.
How to prevent white stains on teeth?
To prevent white spots on teeth, it is of course essential to practice good oral hygiene, which includes brushing your teeth twice a day, flossing daily, and using Oil Pulling Mouthwash. Additionally, avoiding sugary and acidic foods and drinks can help prevent tooth decay, which can lead to white spots. Regular dental checkups and cleanings are also crucial in maintaining healthy teeth and catching any potential issues early. (7)
For individuals wearing braces, using a water flosser can safely remove plaque buildup around the brackets, which can help prevent white spots. (7) Monitoring children's fluoride intake is also important to prevent dental fluorosis, which can cause white spots on teeth. (7) Oil pulling with coconut oil has been suggested as a method to remove plaque and help get rid of white spots. (4)
Maintaining a healthy diet that is low in sugar and acidity can also help prevent white spots. Brushing and flossing around the brackets if you wear braces, ensuring your child isn't using too much fluoride toothpaste, and teaching your child not to swallow toothpaste are all important preventive measures. (4)
By following these tips, you can help prevent white spots from appearing on your teeth and maintain a healthy, beautiful smile.
How to remove the white spots?
These stains are often treatable through methods like microabrasion, tooth whitening, dental veneers, and dental remineralization, which can help restore the natural appearance of the teeth.(4)(6)It is essential to consult a dentist for a precise diagnosis and appropriate treatment to address white stains on teeth effectively.

